New Health Dental
5
~ Anonymous
"My family and I have been patients of Dr. Fritz and New Health Dental for about 10 years (when we moved to Arizona). He is an amazing dentist and orthodontist. He is very honest and caring. I moved back to Wisconsin in 2006, and I still call him to get his advice on dental issues my family and I are having. There are many dentists that will jeopardize your smile to save time or make a few dollars, and Dr. Fritz has saved me from a few of those dentists. I completely trust Dr. Fritz and what he says. He is by far the best dentist/orthodontist my family and I have ever had!"
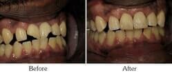
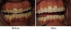
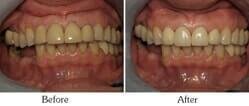
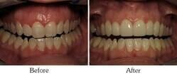
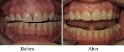
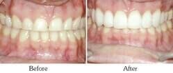
At New Health Dental in Mesa Arizona, we help our patients enjoy beautiful smiles
New Health Dental is your center for holistic dentistry, where our goal is to help you achieve your healthiest, most attractive smile using gentle techniques and biocompatible materials. Your holistic dental team recognizes that the mouth is a portal to the body in more ways than one. What goes into the mouth nourishes the body, but what goes on in the mouth can pose a threat to health and wellbeing. Therefore, the importance of preventive dental care takes on new meaning.
Our team helps patients avoid and correct dental problems like gum disease and cavities. Where we stand out is in our treatment of the individual, not just teeth. During your first visit with Dr. Edward Fritz and his friendly staff, you will discuss your dental concerns and goals and we will get to know you as an individual. The treatment plan that we design for you will be based on your oral anatomy, your immediate needs, and your long term goals.
We offer every facet of dental care, including:
- Dental examinations and cleanings for prevention
- Restoration of dental problems using biocompatible materials and biologically friendly techniques
- Cosmetic enhancement using specialized imaging, veneers, teeth whitening, and more
We are a mercury-free, mercury-safe dental office in which cavities are repaired with safe, tooth-colored composite material. Existing amalgam fillings are removed using specific protocol for safety.
Dr. Edward Fritz and the New Health Dental team are experienced in the treatment of a wide variety of dental concerns, and provide care to the individual. We see patients of all ages and make your dental experiences productive and pleasant. Children receive nurturing care in a fun manner that relieves their anxieties related to dental treatment, and adults are treated with respect and compassion. By creating a calm, stress-free environment, it is our hope that all of our patients will feel more peaceful when receiving dental care.
We are happy to help you and your family enjoy healthy, beautiful smiles. Call (480) 830-3305 today to schedule your dental exam.
Featured Articles
Dentist nearby Mesa – Local Dentist
Read More
Finding a dentist the whole family loves in Mesa, AZ
Read More
From whitening to dentures, crowns to canals, and veneers to implants, Dr. Edward Fritz of New Health Dental provides Mesa AZ area patients with a complete range of comprehensive dental services to ensure beautiful smiles and top notch oral health.
Read More
Dentist in 85213 area explains the importance of preventative dental care
Read More
Dr. Edward Fritz offers tips for keeping your teeth white in Mesa, AZ
Read More
Effective Sleep apnea treatments in Mesa, AZ
Read More